1期治療と2期治療の違いはなんですか?
子どもの矯正について調べると、
「1期治療」「2期治療」という言葉を目にすることがあると思います。
これは、小児矯正を成長段階に合わせて
2つの目的の異なる治療に分けて考える方法です。
それぞれの違いを理解すると、
お子さまにとって適切な治療時期を判断しやすくなります。
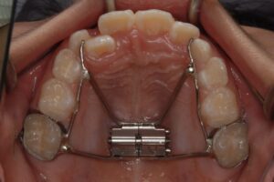
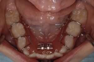
1期治療(第1期治療)とは
▶ 成長期に行う「顎の発育を整える治療」
主に6〜12歳頃(乳歯と永久歯が混在する時期)に行います。
この時期は顎の骨がまだ成長途中で、
将来の歯並びやかみ合わせの土台を整えることができます。
<1期治療の主な目的>
-
顎の大きさやバランスを整える
-
永久歯が並ぶスペースを確保する
-
骨格的なズレの改善
-
かみ合わせの誘導
-
機能(呼吸・舌・飲み込み)の改善
つまり、歯をきれいに並べるというよりも
▶ 「歯が正しく並べる環境を作る治療」
と考えると分かりやすいと思います。
使用する装置の例
-
拡大装置(顎を広げる装置)
-
機能的矯正装置
-
取り外し式の装置


また、歯列を拡大した後にワイヤー矯正で前歯をそろえていきます

お子さまの成長を利用するため、
成人では行えない治療が可能です。
→子供の矯正装置はこちら
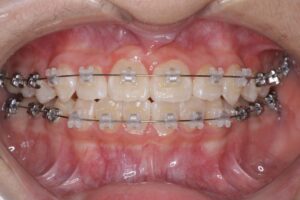
2期治療(第2期治療)とは
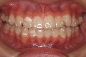
▶ 永久歯が生えそろった後に行う「歯を並べる治療」
主に12歳以降(永久歯列期)に行います。
大人の矯正治療と基本的には同じで、
歯そのものを動かして歯並びとかみ合わせを整えます。
2期治療の主な目的
-
歯並びの最終的な改善
-
かみ合わせの完成
-
見た目と機能の調整
使用する装置の例
-
ワイヤー矯正(ブラケット)
-
マウスピース型矯正装置


→子供の矯正治療の症例はこちら
1期治療を行う理由
1期治療を行う最大の目的は、 将来の治療をより良い条件で行うためです。
例えば、
-
顎が小さく歯が並ぶスペースが不足している
-
受け口など骨格的な問題がある
-
かみ合わせに大きなズレがある
場合、永久歯が生えそろってからでは
改善が難しくなることがあります。
早期に対応することで、
-
抜歯を避けられる可能性が高まる
-
外科的治療を回避できる場合がある
-
2期治療が簡単になる
-
2期治療が不要になることもある
といった利点があります。
すべての子どもに1期治療が必要なわけではありません
歯並びの問題の原因はさまざまで、
-
顎の問題が大きいケース
-
歯の位置の問題が中心のケース
-
成長に伴い自然に改善するケース
などがあります。
そのため、
▶ 必要かどうかは個別の診断が不可欠です
1期を行わず、2期治療のみを行う場合
永久歯が生えそろってから矯正を開始することも一般的です。
ただし、骨格的な問題がある場合には
歯を並べるだけでは十分な改善が得られないことがあります。
治療の進め方はお子さまごとに異なります
同じ年齢でも、
-
顎の成長の程度
-
歯の大きさ
-
生え変わりの状況
-
骨格のタイプ
は大きく異なります。
そのため、「何歳だから1期治療が必要」というものではありません
矯正の開始時期については
→「子どもの矯正はいつから始める?」の記事も参考になります。
→「子供の矯正で抜歯が必要になるケースについて」もあわせてご覧ください。
まとめ
✔ 1期治療:成長期に顎やかみ合わせの土台を整える
✔ 2期治療:永久歯が生えそろってから歯並びを整える
✔ 1期が不要な場合もある
✔ 必要性は個別の診断によって判断される
子どもの矯正は、
単に歯並びだけでなく成長全体を考慮して計画します。
気になることがある場合は、お気軽にご相談ください。
→矯正相談のweb予約はこちら
→矯正相談のLINE予約はこちら
北九州の裏側矯正(舌側矯正)認定医
つは歯科・矯正歯科